inlay&onlay glass ceramic (multi layer) cad

اینلی و آنلی

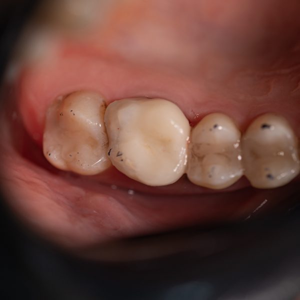
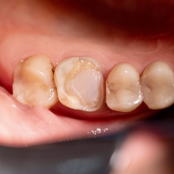
اینلی و آنلی یا اصطلاحا اینله و آنله نوعی درمان ترمیمی دندان هستند اینها نوعی روکش محسوب می شوند که در مواقع پوسیدگی و شکستگی دندان از آنن ها استفاده می شود. احتمالاً شنیده اید که روکش‌ها یا مواد پرکننده برای پر کردن حفره‌ها و پوسیدگی دندان قرار داده می‌شوند. با این حال، ممکن است در مورد برخی از جایگزین‌ها مانند اینله و انله دندان نشنیده باشید. فرق اینله و آنله در این است که برای پر کردن حفره های کوچک از اینلی و پر کردن حفره های بزرگ تر به طوری که لبه ی دندان را هم شامل شود از آنلی استفاده می شود. این قطعات با توجه به قلبی که از دندان گرفته شده، در لابراتوار ساخته و بر روی دندان نصب می شوند.

اینلی و آنلی شبیه به روکش های تمام سرامیک هستند اما تراش آنها بسیار کمتر از روکش بوده و در واقع روکش نصفه هستند. اینلی و اونلی برای درمان دندان هایی که نسج زیادی از دست داده اند و امکان ترمیم مناسب آنها به طور مستقیم با کامپوزیت نبوده و در عین حال نسج آنها آنقدر ضعیف نشده که نیازمند روکش باشند، استفاده می شود.

معمولاً از پرکننده‌ها برای پر کردن حفره‌های کوچک استفاده می‌شود، در حالی که از روکش‌ها زمانی استفاده می‌شود که پوسیدگی عمیق‌تر باشد یا اگر شکستگی بزرگ‌تری برای پوشاندن وجود داشته باشد. با این حال، ممکن است شرایطی وجود داشته باشد که پرکردگی کافی نباشد و روکش برای محافظت از پوسیدگی دندان بیش از حد باشد. اینله و آنله دندان همان چیزی است که بسیاری از متخصصان دندانپزشکی اگر به چیزی «درست» برای پر کردن این شکاف‌ها نیاز داشته باشند، از آن استفاده می‌کنند. آنها از پرکننده‌ها مهم تر هستند، اما به اندازه روکش نفوذی نیستند، که ممکن است به نوعی شامل تغییر شکل دندان‌ها شوند.

تصاویر مربوطه

جزییات بیشتر را در زیر مشاهده کنید

از ما بپرسید

سوال خود را از اینجا بپرسید: